Paradise Hills Dentistry
Gallery
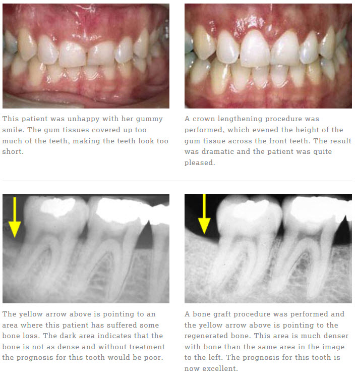
Welcome to our Smile Gallery. We have provided before and after images of examples of procedures we routinely perform in our office. Please click on the links to the left to go directly to a specific procedure section of the gallery to see the results. We work closely with our patients to provide the right solution to create a ‘healthy smile’ that will last a life time.















